
(觀傳媒中彰投新聞)【記者廖妙茜/台中報導】35歲女會計師,日常工作長時間操作電腦與滑鼠,三年前開始出現手肘外側疼痛。起初只是偶爾痠痛,但隨著工作量增加,疼痛頻率逐漸升高,甚至影響日常生活。她曾到多家診所就醫,被診斷為「網球肘」(肱骨外上髁炎),接受過物理治療、震波治療及局部類固醇注射等保守療法,症狀雖能暫時緩解,但疼痛總是反覆發作,讓她感到十分困擾。C小姐後來到仁愛長庚合作聯盟醫院(大里仁愛醫院)骨科陳重宇醫師門診求診,經採用微創關節鏡手術恢復良好,兩週後即可開始進行伸展訓練,三個月後疼痛幾乎完全消失,日常生活與工作表現均明顯改善。她開心地表示,終於不用再擔心手肘痛到拿不動東西!

膜皺襞增生與軟骨軟化。這類結構性病因若僅以「網球肘」的治療方式處理,往往難以根治。
陳重宇醫師解釋,「網球肘」是最常見的手肘外側疼痛原因之一,主要由重複使用手腕伸展或抓握動作引起,造成肌腱慢性拉扯與微小撕裂,導致局部發炎與疼痛。常見症狀包括抓握無力、提重物時疼痛等。治療上,初期可透過休息、伸展運動、護具、物理治療控制症狀;若疼痛持續或反覆發作,可考慮震波治療或局部注射以促進修復。但若經過六個月以上積極治療仍無改善,建議進一步評估是否有其他病因。

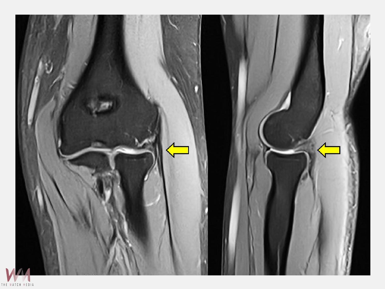
陳重宇醫師說,外側手肘疼痛並非全是「網球肘」,其他常見原因包括:韌帶或關節囊損傷、剝離性軟骨炎、骨刺或退化性關節炎、滑膜皺襞症候群(synovial plica syndrome)和神經壓迫性疼痛。針對手肘的結構性病因,微創關節鏡手術是一個安全且效果良好的選擇。以C小姐為例,手術透過關節鏡直接觀察肘關節內部結構,精準鬆解發炎的肌腱附著點,並清除增生的滑膜皺襞。手術僅需數個約1公分的小切口,創傷小、出血少,術後疼痛明顯減輕,復原速度快。
陳重宇醫師提醒,若手肘疼痛經過6至12個月治療仍無改善,應及早尋求專科醫師檢查,找出病因,對症治療,才能真正改善生活品質。
圖:台北市政府警察局提供 報新聞/編輯部 臺北市警局北投分局光明派出所日前接獲民眾報案,指稱有機車鑰匙未拔,警方獲報後,立即趕赴現場,取下鑰匙後聯繫車主到場拎回,讓車主直呼貼心。北投分局光明派出所日前12時許接獲民眾報案,稱北投區復興公園旁有一部機車鑰匙未取下,員李心凱獲報後,擔心車輛因無人看管,遭不肖人士覬覦,恐有失竊風險,隨即馳赴現場查找。李員到場後,巡視公園周邊,在珠海路發現目標車輛,所幸鑰匙仍插在前置物箱上,為維護轄區治安及保障民眾財產安全,立即將鑰匙帶回保管,並於機車上方張貼代保管單,循線通知車主至所領回。車主表示,她在高中任教(姓謝、52歲),當日趕著上課,停好車離開時一時粗心,忘記拔起鑰匙,直到放學後查看手機,發現有多通派出所的未接來電,才驚覺鑰匙遺失,趕緊前往光明派出所認領。後經李員核對身分無誤後將鑰匙發還,並貼心陪同返回現場逐一清點置物箱內財物,確認物品均安然無恙。該民對員警主動為民服務之舉不斷表達感謝及讚許,也開玩笑地表示,幸好置物箱裡的住家磁扣尚在,否則今晚可能要露宿街頭,以後會確認將鑰匙取下後再離開。 圖:台北市政府警察局提供 北投分局呼籲,民眾騎車外出如將車輛停放戶外或路邊車格等無專人看管之處,最好多重上鎖(如前後輪、把手處),切勿因停放時間短暫而未鎖龍頭或未拔鑰匙,同時將車內貴重物品隨身攜帶,秉持「鑰匙帶著走、竊賊偷不走」的觀念,才是防竊的根本之道。 Please enable JavaScript to view the comments powered by Disqus.
波新聞-戴貴立/屏東 屏東縣政府預於11月16日在縣府1樓大禮堂辦理「屏東縣114年度志願服務人員暨社區好讚選拔、績優合作社聯合表揚典禮,今年度表揚首次新增「獨老關懷服務獎」,分別為「獨老守護團隊獎」、「典範督導獎」及「屏東暖陽獎」,藉此表揚在第一線投入獨居長者服務的團隊、督導與志工,肯定他們長期默默付出的精神與行動。 本屆獲得「獨老守護團隊獎」共有3個單位,分別為財團法人弘道老人福利基金會、屏東縣竹田鄉築愛發展協會,以及屏東縣全齡健康促進與教育推廣協會。其中,弘道老人福利基金會志工團隊負責潮州鎮部分村里、萬丹鄉及林邊鄉,長期扮演獨居長者生活守護者的角色。寒冬春節期間,志工會送上年菜、陪長者圍爐、走春,將節慶溫暖帶進家中;夏日高溫時,則上門關心居家環境,協助改善通風降溫,確保長者安全。一次協助長者居家清潔時,原本只在床上觀看志工打掃的朱姓阿公,也被鼓舞主動捲起袖子加入整理家務,讓志工深受感動,也讓關懷與善意在長輩與志工間持續流動,形成真正的「善的循環」。 「典範督導獎」2位督導,分別是屏東縣竹田鄉築愛發展協會的黃育珍督導,以及屏東縣全齡健康促進與教育推廣協會的林美幸督導。林美幸督導服務車城鄉,身為當地人並擁有19年在地志工經驗,她主動關心志工,傾聽困難、陪伴台語不流暢的志工進行訪視,並適時調整分工,凝聚團隊向心力。熟悉社區資源的她,能有效串連各村志工,並結合長照經驗,提升服務效率與關懷溫度。 「屏東暖陽獎」共表揚3名個人得獎者,他們長期深入社區,陪伴獨居長者,用行動傳遞愛與關懷。財團法人弘道老人福利基金會的林立婉志工,服務萬丹鄉林阿公時,發現其電鍋壞掉,煮餐成為困難。雖然長者未直接求助,林志工敏銳察覺困境,立即聯繫督導並協助申請縣府「周逸君敬老專案」補助,成功解決長者問題,讓長者感激地表示:「若無志工的幫忙,我何時才能有電鍋能使用。」屏東縣竹田鄉築愛發展協會的田淑琴與李鍾梅珍志工也長期投入獨居長者關懷服務,親自探訪長輩、傾聽生活需求,並協助連結社區資源。尤其李鍾梅珍已高齡80歲,仍以實際行動展現「年齡不是限制,愛心永不退場」的精神,成為地方最溫暖的典範。 縣府社會處表示,這些在地志工與團隊的關懷如屏東暖陽,最真實也最溫暖。縣府將持續合作,推動友善長者照顧與支持,讓每位長輩「在地安老、安心生活」。
墨新聞|記者張游舜/台北報導 10月10日至26日台灣設計展在彰化盛大登場,台東縣長饒慶鈴今(17)日特別到訪彰化展區,先後參觀小西商圈高賓閣、圖書館、藝術館、美術館及武德殿,由縣長王惠美親自接待,一同感受這場設計盛會的獨特魅力。 王縣長表示,感謝饒縣長縣府團隊蒞臨指導,饒縣長是5星級的縣長,不僅施政滿意度高,也積極推動觀光發展,是我們學習的楷模。本次展區橫跨彰化市、鹿港、田中、田尾等4個鄉鎮市,設有15個主題分行,希望透過設計展打開彰化,讓大家看見彰化之美。未來也期盼彰化與台東兩邊縣府團隊能多加交流,讓世界更加看見彰化與台東。 台東縣長饒慶鈴表示,很開心到訪今年於彰化舉辦的台灣設計展,從前(112)年彰化建縣300年就看見彰化的進步。奠基於文化、歷史及各行業的傑出底蘊,成功蛻變並用現代語彙詮釋成全新的樣貌。今天除到彰化展區的縣立圖書館、藝術館、美術館欣賞,也前往小西商街探訪舊商圈的活化整合,以及為青年朋友打造的N型未來學院,發現彰化無限的可能性,彰化的未來就像設計展所表現的「行行出狀元」。 王縣長帶領導覽的過程中,遇見許多來參訪的國中小及幼兒園的學童,孩子紛紛驚喜大喊「縣長好!」兩位縣長與孩子親切互動,並一起嘗試多種新穎的互動裝置。其中饒縣長於藝術館內體驗花卉改良所的裝置,將圖卡放於感應區而能在螢幕上生長出對應的花卉,並綻放許多美麗的花瓣,讓人可以親身感受彰化獨特的花卉文化。 照片/彰化縣政府提供 此篇文章最開始出處為: 台東縣長饒慶鈴到訪2025台灣設計展 看見彰化無限可能
▲老闆娘在急救過程當中滿臉是血,但面無血色。(圖/民眾提供) 【Lai傳媒、記者爆料網 金東天/高雄報導】 高雄鳳山今(10)日一早發生一起兇殺案,一名呂姓男子持刀殺害檳榔攤老闆娘,多刀造成對方當場無生命跡象,緊急送醫後搶救不治。《Lai傳媒、記者爆料網》取得當下的一段畫面,可見老闆娘滿臉是血,面無血色。 本報取得當下民眾拍下的急救畫面,只見老闆娘滿臉是血,已經面無血色。而在當時,老闆娘已經沒有了生命跡象,後續送往醫院急救了1個多小時,還是不幸宣告不治。 事發就在今日上午7時許,呂姓男子預藏水果刀到檳榔攤,目前有兩種說法,一種是呂男持刀要跟老闆娘拿錢,遭到拒絕後無情刺殺老闆娘;另一種則是呂男當時是要找老闆娘兒子,不料對方不在家,而他與老闆娘發生口角,憤而持刀將對方殺害。 嫌犯在事發後先跑遠,又回到附近的娃娃機店觀察現場,警方逮到人後,他還是一臉從容。據悉,呂男先前有多項前科,甚至110年被逮入獄後還與獄友發生衝突,這次的凶狠手段,不禁讓人懷疑,他根本就是預謀殺人。 下午檢警進行相驗,發現老闆娘頭、胸、上腹都有刀傷,家屬前去認屍時,崩潰跪地痛哭,而檢方與法醫也決定要擇日解剖釐清死因,嫌犯在訊後將依殺人罪移送法辦。 本文為「記者爆料網」授權刊登,原文網址
在今年艋舺青山宮暗訪暨繞境活動熱鬧結束後,不少民眾意外發現,在遶境的人潮與鑼鼓聲中,一抹熟悉的品牌亮點——「PP石墨烯」也悄悄現身其中。這個原本活躍於健康科技領域的品牌,如今走進了台灣最具文化能量的百年祭典,從在地信仰到藝文活動都能看見它的身影。PP石墨烯以最接地氣的方式陪伴台灣、支持文化,成為許多人心中真正「有溫度」的品牌。 以實際行動力挺藝文活動 展現品牌核心價值 「PP石墨烯」創辦人郭宏睿董事長,因為創業過程裡長期穿梭於民間與商界,對於各產業的艱辛最能感受身受,郭宏睿除了自身即為白沙屯媽祖的忠實信眾、長年出資贊助進香活動外,有感於文化軟實力對於一個國家的重要,他特別想要大眾關注力從手機轉移到台灣許多有底蘊、有潛力的文化工作者身上,以實際行動力挺台灣的流行及文化產業,秉持「取之社會、用之社會」的理念,PP石墨烯將品牌所受到的支持,轉化為最實際的應援。 2025 年便大力投入多場藝文活動,包括把信仰中的良善溫暖傳遞出去的「信徒文化季演唱會」、金曲歌后彭佳慧演唱會、更在八月贊助二姐江蕙的演唱會,跨界贊助讓粉絲們相當驚喜!其他像是舞台劇「會演是英雄」、品牌身影也再次出現在 台北最具代表性、擁有百年文化底蘊的「艋舺青山宮暗訪暨繞境活動」。這項堪稱台北三大廟會之一的盛典,每年吸引數十萬民眾共襄盛舉,被視為台灣最重要的城市文化能量之一。品牌不只站在健康科技的前端,也想把在地信仰與藝文能量傳遞給大家。 除了藝文領域,郭宏睿董事長也積極投入他熱愛的體育活動推廣,希望將重視健康的觀念帶給所有的台灣民眾 ,繼2024年受邀為中信兄弟開球, 今年亦持續走入球場,讓球迷能在現場看見PP 石墨烯的身影,透過創意的異業合作,讓更多人看見品牌的活力,從球場到劇場、從演唱會到文化祭典,PP石墨烯藉由跨界合作,讓更多民眾能在不同場景中看見品牌堅持、活力與公益形象。 深耕在地持續關注 成為有溫度的品牌 作為市場領導品牌,PP石墨烯始終專注於革命性的石墨烯科技,以創新為目標、為消費者打造更健康舒適的生活。值得一提的是,品牌在推進產品技術的同時,也從未疏忽社會公益的實踐:包括捐贈千件石墨烯智能衣給醫療志工與白沙屯香燈腳,協助他們應對日夜溫差;疫情期間更率先提供防疫物資給消防單位與醫院,並持續關懷偏鄉兒少與社福機構,深耕在地公益根基。 這份精神更是在 2025 年花蓮馬太鞍溪堰塞湖溢流造成重大災情時被再次展現。當地家園滿目瘡痍之際,董事長郭宏睿第一時間一同與宗教、企業與公益團體協助賑災,集結電風扇、石墨烯床墊等物資送往災區,以最直接的方式陪伴受災鄉親。 以艋舺青山宮暗訪暨繞境活動象徵的「守護城市、保庇眾生」,與PP石墨烯「健康守護、溫暖陪伴」的品牌理念相互呼應。品牌希望透過持續投入在地文化活動,科技不只是產品功能,更是一種能在關鍵時刻支持台灣、照顧台灣人的力量。
ORBS 正對多間行業龍頭公司進行策略投資,其中包括 OpenAI 和 Beast Industries Bitmine (NYSE: BMNR) 主席 Tom Lee 加入董事會,以支持 ORBS 的長期投資策略 ARK Invest 成為 ORBS 的合作夥伴,為其提供策略諮詢服務及私募市場洞察力,並承諾向 ORBS 投資 2,500 萬美元 ARK Invest 的首席未來學家 Brett Winton 將出任 ORBS 董事會顧問 全球加密貨幣平台 Kraken 的母公司 Payward 承諾向 ORBS 投資 2,500 萬美元 支持公司的策略及機構投資者陣容強大,包括:Bitmine Immersion Technologies (BMNR)、MOZAYYX、ARK Invest、Payward、World Foundation、Coinfund、Discovery Capital Management、FalconX、Pantera、GSR 等 賓夕法尼亞州伊斯頓2026年3月15日 /美通社/ — Eightco Holdings Inc. (NASDAQ: ORBS)(「ORBS」或「本公司」)今日宣佈,已獲得 1.25 億美元的全新融資承諾。本輪融資由 Bitmine (NYSE: BMNR) 領投 7,500 萬美元,ARK Invest 亦承諾投入至少 2,500 萬美元。 此外,全球加密貨幣平台 Kraken 的母公司 Payward,同樣承諾向 ORBS 投資 2,500 萬美元。 這筆資金將用於支持 ORBS 擴展投資版圖,聚焦於塑造新一代人工智能 (AI)、區塊鏈基礎設施及全球數碼消費者平台的技術。 ORBS 也宣佈已完成首輪策略投資,分別向 OpenAI 注資 5,000 萬美元,以及向 MrBeast 和 Beast Industries 注資 2,500 萬美元。 此等投資令 ORBS 得以成為關鍵先進人工智能技術與內容創作領域的核心樞紐,其投資組合亦因而擴展至涵蓋多間世界級創新企業的股權。 公司將繼續持有由 Sam Altman 聯合創立的 Worldcoin,以及以太坊 (Ethereum),展現其對 ERC-20 協定的長期信心。 公司已委任 Bitmine 主席 Tom Lee 加入 ORBS 董事會。 ARK Invest 的首席未來學家 Brett Winton 將出任 ORBS 董事會顧問一職。 Dan Ives 將卸任 ORBS 主席。 Bitmine 主席兼 ORBS 新任獨立董事 Tom Lee 表示:「Bitmine 之所以投資 ORBS,是因為我們深信,這間公司正處於人工智能未來需求及發展的中心。 在我看來, Proof of Human (Worldcoin)、OpenAI 的基礎模型,以及與全球頂尖內容創作者 MrBeast 的深度連繫,三者之間存在莫大的協同潛力。 素來以發掘指數級增長機遇而聞名於世的 ARK 投資團隊,正在進一步推動此公司的協同效應和創新。」 World 的創立,旨在應對人工智能時代的關鍵挑戰:如何有效區分真人與機械人。 談及創立 World,Sam Altman 表示:「在通用人工智能 (AGI) 時代,我們必須找到能夠識別並驗證人類身份的方法。 我們需要一種方法,來分辨哪些內容出自人類,哪些由人工智能生成。 我們希望確保,在未來人工智能內容鋪天蓋地的互聯網世界中,人類依然是與別不同且不可或缺的核心。 我們也希望藉此思考,未來應如何公平地分配這些系統的使用權限。」 ARK Invest 創始人、行政總裁兼投資總監 Cathie Wood 說:「ORBS 正於人工智能、區塊鏈與創作者驅動平台的交匯點,推動別樹一幟的計劃。 ARK Invest 一向聚焦於有潛力顛覆全球經濟格局的技術。 我們很高興能與 ORBS 攜手合作,在未來十年這些技術蓬勃發展之際,全力支持其宏大策略。」 Kraken 和 Payward 的聯席行政總裁 Arjun Sethi 說:「技術革命的演進,往往遵循冪律法則:最終價值將高度集中於少數頂尖平台。 ORBS 的遠見,在於其精準地立於人工智能、加密基礎設施與全球數碼分發這三大複合型網絡的交匯之處。 在此部署的資本,將有望實現非線性的躍升。我們樂於支持這種旨在捕捉不對稱機遇的策略方針。」 關於 EIGHTCO HOLDINGS INC.Eightco Holdings Inc. (NASDAQ: ORBS) 正致力拓展其使命,目標是持有頂尖人工智能模型 OpenAI,以及頂尖內容創作者 MrBeast 與 Beast Industries 的股權。 透過策略投資與合作夥伴關係,ORBS 成功立足於區塊鏈基礎設施、人工智能與下一代消費平台的交匯之處。 公司專注將資本投向那些正在塑造人類未來的顛覆性技術,以此為股東創造長遠價值。 請在 X 關注更多詳情:https://x.com/iamhuman_orbs 關於 BITMINEBitmine (NYSE AMERICAN: BMNR) 是一間在美國營運的比特幣採礦公司。 公司正利用盈餘資本,致力成為全球頂尖的以太坊庫藏公司,為機構投資者及公開市場參與者推行一項創新的數碼資產策略。 在「5% 的煉金術 (Alchemy of 5%)」指引下,本公司承諾以以太幣作為其主要庫存儲備資產,並透過質押及去中心化金融機制等原生協議層級活動加以運用。 本公司將於 2026 年第一季度推出 MAVAN (美國製造驗證者網絡),這是專為 Bitmine 資產打造的專屬質押基礎設施。 如欲了解更多詳情,請於 X 平台關注:https://x.com/bitmnrhttps://x.com/fundstrat 關於 BEAST INDUSTRIESBeast Industries 是一家多元化的娛樂、消費產品及 CPG 公司,由 YouTube 創作者、企業家兼慈善家 Jimmy Donaldson(更為人熟知的名字為 MrBeast)創立並領導。 作為全球娛樂界的強大品牌,MrBeast 是全球訂閱人數最多的 YouTube 頻道,在其所有頻道合計下擁有超過 4.5 億名訂閱者,以及每月超過 50 億次觀看。 Donaldson 曾於 2023 年獲《Forbes》Top Creators List 評選為排名第一的創作者,並入選《TIME》100 及首屆 TIME100 Climate 名單;他亦成功將 Beast Industries 打造成一個涵蓋突破性內容、破紀錄的競賽節目形式,以及包括零食品牌 Feastables 在內、屬歷來增長速度最快之一的多個 CPG 產品發佈的平台。 該公司亦透過 #TeamTrees、#TeamSeas、#TeamWater 等計劃,以及 Beast Philanthropy——一家 501(c)(3) 非牟利機構——推動大規模的社會影響;該機構至今已提供超過 2,000 萬份免費膳食,並資助全球多項關鍵基礎設施項目。 Beast Industries 以娛樂、創新與使命為核心,致力打造具文化共鳴的 IP、領先市場的產品,以及持久而深遠的影響。 關於 PAYWARDPayward, Inc. 作為統一的金融基礎設施平台,驅動著一系列旨在推動全球開放金融體系的產品。 Payward 基於單一共通架構,讓客戶跨越不同資產類別,流暢無礙地進行持有、交易、賺息、支付和投資。 Payward 的核心業務,是為 Kraken 以及一系列不斷擴充的專屬產品(包括 NinjaTrader、Breakout、xStocks 和 CF Benchmarks)提供底層基礎設施支援。 Payward 將基礎設施與產品表現層分隔。 旗下每一款產品,均針對特定客戶群、監管環境及應用場景度身打造,但全都運行於同一個全球統一的基礎設施之上: 統一全球流動性池 統一的風險與保證金引擎 統一的抵押品與結算系統 統一合規與許可框架 此共通架構讓 Payward 能夠高效擴張、以較低邊際成本推出新品,並服務全球多元市場,同時維持一致的風险管理、監管合規水平及營運穩健發展。 如欲了解更多有關 Payward 的資訊,請瀏覽 www.payward.com. 前瞻性陳述 本新聞稿包含根據 1995 年《私人證券訴訟改革法》(Private Securities Litigation Reform Act of 1995) 所界定的前瞻性陳述。 本新聞稿中除歷史事實陳述外的所有聲明,均可被視為前瞻性陳述。 當中使用的詞語如「計劃」、「預計」、「將」、「預期」、「繼續」、「擴展」、「推進」、「開發」、「相信」、「指引」、「目標」、「可能」、「保持」、「規劃」、「展望」、「擬」、「估計」、「或會」、「應」等,以及其他類似涵義的表達,均意在標示前瞻性陳述,但並非所有前瞻性陳述都必然包含這些詞彙。 前瞻性陳述基於管理層當前的信念和假設,這些信念和假設存在風險和不確定性,且不構成對未來表現的保證。 實際結果可能因各種因素而與任何前瞻性陳述所載者存在重大差異,這些因素包括但不限於:公司無法指導其非控股股東的私營企業的管理或營運;公司策略投資遭受損失或減值的風險;公司維持遵守 Nasdaq 持續上市要求的能力;意外成本、開支或費用削減公司資本資源或以其他方式延遲資本部署;無法籌集足夠資本以資助或擴展其業務營運或策略投資;對數碼資產或人工智能應用產生負面影響的監管變化、未來立法和規則制定;以及公眾和政府對數碼資產或人工智能相關行業的立場轉變。 考慮到上述風險及不確定因素,投資者務必審慎行事,不應對該等前瞻性陳述寄予不切實際的倚賴。 有關其他風險、不確定性及其他重要因素的討論(任何該等因素均可能導致 Eightco 的實際結果與本文前瞻性陳述所載者不同),請參閱 Eightco 向美國證券交易委員會(「SEC」)提交的文件,包括其於 2025 年 4 月 15 日向 SEC 提交的 10-K 表格年度報告中的風險因素及其他披露,以及其後公開的 SEC 文件。 本新聞稿列載的所有資訊均截至發稿當日,除法律規定者外,Eightco 並無責任更新此等資訊,亦無義務公開宣佈對任何陳述作出修訂以反映未來事件或發展。
香港2026年3月13日 /美通社/ — 中國移動香港有限公司(簡稱:中國移動香港)宣佈,旗下尊尚服務品牌「全球通優越會」(GoTone Privilege Club)正式成為巴塞爾藝術展香港展會(Art Basel Hong Kong)合作夥伴。「全球通優越會」以科技連結藝術與文化,體現品牌全球視野與跨界合作格局,並為會員開啟通往世界級文化與生活方式體驗的新入口,彰顯品牌邁向新高度的願景。 中國移動香港「全球通優越會」攜手巴塞爾藝術展香港展會 以科技連結藝術 開拓數碼時代文化新體驗 以科技賦能藝術 彰顯國際視野與文化格局巴塞爾藝術展是全球最具影響力的藝術展會之一,匯聚世界頂尖畫廊、藝術家與收藏家,為亞洲及國際藝術界打造重要交流平臺。中國移動香港「全球通優越會」參與其中,不僅彰顯品牌積極連結國際文化舞臺的格局,更以其領先的數碼與通訊科技優勢,積極推動多元跨界合作,連接世界級藝術資源,為會員開拓全新文化觸點,讓藝術體驗更近、更專屬。 作為巴塞爾藝術展聚焦數碼時代藝術的重要策展項目,「Zero 10」由「全球通優越會」隆重呈獻,聚焦數碼時代藝術的創新表達,探索科技與藝術融合的無限可能。其理念與全球通優越會以創新科技拓展文化與藝術體驗的方向高度契合,進一步詮釋「以科技啟迪文化、以文化豐富生活」的理念。 構建尊貴會員權益 開啟卓越生活體驗作為中國移動香港的尊尚會員服務品牌,「全球通優越會」以跨越科技、藝術與生活方式的全方位視角,為會員提供兼具品味與國際格局的卓越體驗。從國際文化藝術盛事到頂級生活服務,「全球通優越會」全面回應會員對品質生活的追求。 在文化體驗方面,會員可透過品牌標誌性權益「稀缺活動參與權」,優先參與市場上一票難求的頂級文化及娛樂盛事,包括巴塞爾藝術展香港展會 VIP 通行體驗、巨星演唱會及大型體育賽事等尊貴體驗,近距離接觸國際級藝術盛會。 在生活層面,會員亦可尊享馬場貴賓廂房、「網絡頭等艙」保障本地及漫遊網絡體驗、私人助理服務、Priority Pass機場貴賓室通行等專屬服務,並參與我們精心設計的「全球通逐馬計劃」,透過完成指定訓練,可以獲得參加渣打香港馬拉松以及其他內地知名馬拉松賽事參賽名額#的機會;而在科技體驗方面,會員則可享旗艦手機優先購買保障,率先體驗最新科技潮流。 #須完成指定訓練才確認獲得參與資格;名額有限,按報名或預約或預訂的先後排序提供,先到先得。 「全球通優越會」設有完善的會員制度,隨著會員網齡增長及消費提升,會員亦可逐步解鎖更多尊貴權益與專屬體驗,享受多元化尊享服務及精選品味活動,讓高端生活方式隨著人生階段不斷延展,體現品牌對會員長期價值的承諾。 連結世界 引領未來未來,中國移動香港將持續透過「全球通優越會」拓展與國際文化及創意平臺的合作,以科技連結藝術與生活方式,為會員締造真正專屬且尊崇的生活方式,並進一步鞏固品牌在高端服務市場的領先定位,開啟全新尊尚生活篇章。 關於中國移動香港有限公司 中國移動香港有限公司(簡稱「中國移動香港」)隸屬中國移動有限公司(簡稱「中國移動」),《財富》雜誌「全球500強」企業,香港聯交所股份代號:941;於1997年1月正式提供服務,成為全港首個PCS流動網絡商。 作為全球最多客戶流動網絡品牌*,公司透過5G SA/NSA、4G LTE等技術為客戶提供創新及多元化的通訊服務,包括話音、數據、IDD及國際漫遊等,並一直致力發展5G與人工智慧、物聯網、雲端計算、大數據等新技術結合,幫助各行各業實現5G的應用,推動大灣區智慧城市群建設與發展。 *中國移動香港有限公司為中國移動有限公司全資附屬公司。截至2024年12月31日,中國移動有限公司在全球擁有最多流動網絡客戶。 關於巴塞爾藝術展巴塞爾藝術展於1970年由巴塞爾的藝廊創辦人成立,現今為全球頂尖的現當代藝術展會,每年於巴塞爾、邁阿密海灘、香港、巴黎及多哈舉行。每個展會均因各自的城市與地域而別具特色,具體體現在參展藝廊、展出作品,以及與當地文化機構為每屆展會合作策劃的同期活動內容之中。通過諸如「Zero 10」項目與巴塞爾藝術展應用程式等數碼平台,以及《巴塞爾藝術展與瑞銀集團環球藝術市場報告》、《巴塞爾藝術展與瑞銀集團環球藝術收藏調查報告》、巴塞爾藝術獎(Art Basel Awards)及巴塞爾藝術展商店及等新的項目,巴塞爾藝術展將自身影響力拓展至藝術展會之外。獲取更多信息,請訪問artbasel.com。
德國紐倫堡2026年3月9日 /美通社/ — 全球高效能記憶體與儲存解決方案供應商博帝科技 Patriot Memory 將於 3 月 10 日參加於德國紐倫堡舉行的 Embedded World 2026。透過旗下專注於工業與嵌入式系統的品牌 ACPI,Patriot Memory 將展示一系列針對 AIoT、邊緣運算及 5G 基礎設施開發的次世代硬體,重點產品包括全新的 M2PDR-8LP PCIe Gen5 x4 SSD、大容量企業級 NVMe SSD 系列,以及支援寬溫技術的高速 DDR5 RDIMM 記憶體模組。 博帝科技於 Embedded World 2026 推出多款 AI 運算相關記憶體模組及儲存方案 隨著工業應用逐步轉向涉及 AI 訓練與自動化系統的大數據工作負載,市場對於極限頻寬與散熱穩定性的需求已達到關鍵點。ACPI 的最新產品旨在透過結合尖端介面標準與工業級可靠性,協助客戶應對這些挑戰。 卓越儲存效能: PCIe Gen5 解決方案 ACPI M2PDR-8LP M.2 2280 SSD 採用 PCIe Gen5 x4 介面,連續讀寫速度分別高達 14,000 MB/s 與 13,000 MB/s。為確保在氣流受限的環境中維持穩定效能,該模組配置了石墨烯散熱片與先進的熱調頻 (Thermal Throttling) 演算法。針對企業級環境,EU2H2-BL 系列 (提供 U.2、E1.S 與 E3.S 等外型規格) 採用 eTLC NAND,容量最高達 15.36TB,並具備企業級斷電保護 (PLP) 技術與 NVMe 2.0 規範。 高可靠性記憶體:適用於邊緣運算伺服器的 DDR5 RDIMM ACPI 的 DDR5 RDIMM 模組專為滿足高效能工作站與邊緣運算伺服器的嚴苛穩定性需求而設計。主流速度可達 6,400 MT/s,頻寬較前代產品提升近兩倍。核心特性包括: 支援廣溫技術: 可於 -40°C 至 +85°C 的環境下穩定運作。 整合式電源管理 IC (PMIC): 以 1.1V 低電壓優化電源傳輸並降低訊號雜訊。 強化數據完整性: 具備 Side-band ECC 與暫存器 (RCD) 機制,支援大容量且零錯誤的運算需求。 將 AI 整合至嵌入式系統中,需要能夠維持極高運算容量且不犧牲數據完整性的硬體支援。藉由將 PCIe Gen5 的效能與 DDR5 的廣溫穩定性導入 ACPI 產品線,Patriot Memory 正為其工業合作夥伴提供未來十年邊緣運算創新所需的基礎技術。 欲瞭解更多關於 ACPI 工業級解決方案的資訊,請於 2026 年 3 月 10 日至 12 日期間,前往德國紐倫堡 Embedded World 2026 展位參觀,攤位編號 : Hall 1-614。